Signature care only available at Smile:D
3D Lingual & Comparative Correction
Signature care only available at Smile:D
3D Lingual & Comparative Correction
"I'm worried about getting my teeth straightened and how visible they will be. Is it possible to have orthodontic treatment without it being obvious?"
Orthodontic treatment for
a brilliant smile without
going unnoticed
With SmileDentistry your braces will be virtually invisible.
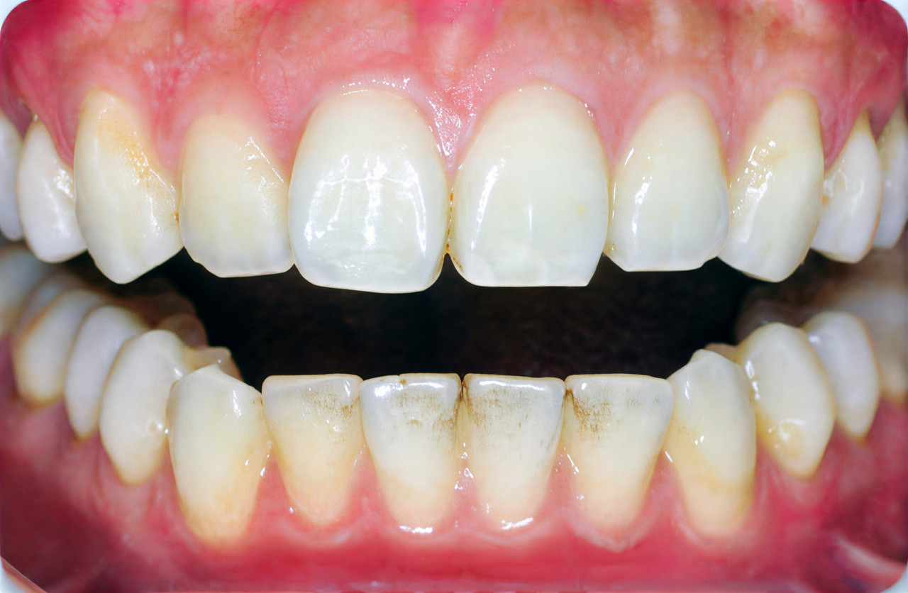
3D Lingual Correction
A treatment in which braces are attached to the inner surface of the teeth which has the advantage of being virtually invisible from the outside. This allows working adults to have treatment comfortably and inconspicuously adults who are at work can have treatment comfortably and discreetly, orthodontic treatment without worry.
Comparing
Combination orthodontics involves the placement of lingual braces on the upper teeth and labial braces on the lower teeth. In most everyday situations, the upper teeth are more visible than the lower teeth more visible than the lower teeth. Therefore, the lingual side of the upper teeth can be attached to the lingual side of the teeth lingual side to improve the aesthetics.
Honest visitor reviews
Here are some proofreading testimonials from our clients who have visited Smiley!
"I'm worried about getting my teeth straightened and how
visible they will be.
Is it possible to have orthodontic treatment without it
being obvious?"

Orthodontic treatment for a brilliant smile without going unnoticed
With SmileDentistry your braces will be virtually invisible.
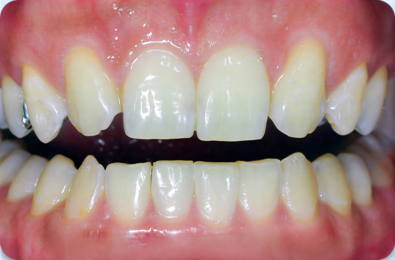
3D Lingual Correction
A treatment in which braces are attached to the inner surface of the teeth which has the advantage of being virtually invisible from the outside. This allows working adults to have treatment comfortably and inconspicuously adults who are at work can have treatment comfortably and discreetly, orthodontic treatment without worry.
Comparing
Combination orthodontics involves the placement of lingual braces on the upper teeth and labial braces on the lower teeth. In most everyday situations, the upper teeth are more visible than the lower teeth more visible than the lower teeth. Therefore, the lingual side of the upper teeth can be attached to the lingual side of the teeth lingual side to improve the aesthetics.
Honest visitor reviews
Here are some proofreading testimonials from our clients who have visited Smiley!
3D Digital Correction Review
When I first visited the dental clinic, the doctor thoroughly examined my teeth. They explained in detail how the laminate procedure would work and what results I could expect. Through the consultation, I was able to choose the perfect color and shape for my teeth.
Jan 20, 2025, Kim O.
3D Digital Correction Review
When I first visited the dental clinic, the doctor thoroughly examined my teeth. They explained in detail how the laminate procedure would work and what results I could expect. Through the consultation, I was able to choose the perfect color and shape for my teeth.
Jan 20, 2025, Kang O.
3D Digital Correction Review
When I first visited the dental clinic, the doctor thoroughly examined my teeth. They explained in detail how the laminate procedure would work and what results I could expect. Through the consultation, I was able to choose the perfect color and shape for my teeth.
Jan 20, 2025, Lee O.
3D Digital Correction Review
When I first visited the dental clinic, the doctor thoroughly examined my teeth. They explained in detail how the laminate procedure would work and what results I could expect. Through the consultation, I was able to choose the perfect color and shape for my teeth.
Jan 20, 2025, Kang O.
3D Digital Correction Review
When I first visited the dental clinic, the doctor thoroughly examined my teeth. They explained in detail how the laminate procedure would work and what results I could expect. Through the consultation, I was able to choose the perfect color and shape for my teeth.
Jan 20, 2025, Kim O.
3D Digital Correction Review
When I first visited the dental clinic, the doctor thoroughly examined my teeth. They explained in detail how the laminate procedure would work and what results I could expect. Through the consultation, I was able to choose the perfect color and shape for my teeth.
Jan 20, 2025, Kang O.
3D Digital Correction Review
When I first visited the dental clinic, the doctor thoroughly examined my teeth. They explained in detail how the laminate procedure would work and what results I could expect. Through the consultation, I was able to choose the perfect color and shape for my teeth.
Jan 20, 2025, Lee O.
3D Digital Correction Review
When I first visited the dental clinic, the doctor thoroughly examined my teeth. They explained in detail how the laminate procedure would work and what results I could expect. Through the consultation, I was able to choose the perfect color and shape for my teeth.
Jan 20, 2025, Kang O.
3D Digital Correction Review
When I first visited the dental clinic, the doctor thoroughly examined my teeth. They explained in detail how the laminate procedure would work and what results I could expect. Through the consultation, I was able to choose the perfect color and shape for my teeth.
Jan 20, 2025, Kim O.
3D Digital Correction Review
When I first visited the dental clinic, the doctor thoroughly examined my teeth. They explained in detail how the laminate procedure would work and what results I could expect. Through the consultation, I was able to choose the perfect color and shape for my teeth.
Jan 20, 2025, Kang O.
3D Digital Correction Review
When I first visited the dental clinic, the doctor thoroughly examined my teeth. They explained in detail how the laminate procedure would work and what results I could expect. Through the consultation, I was able to choose the perfect color and shape for my teeth.
Jan 20, 2025, Lee O.
3D Digital Correction Review
When I first visited the dental clinic, the doctor thoroughly examined my teeth. They explained in detail how the laminate procedure would work and what results I could expect. Through the consultation, I was able to choose the perfect color and shape for my teeth.
Jan 20, 2025, Kang O.
3D Digital Correction Review
When I first visited the dental clinic, the doctor thoroughly examined my teeth. They explained in detail how the laminate procedure would work and what results I could expect. Through the consultation, I was able to choose the perfect color and shape for my teeth.
Jan 20, 2025, Kim O.
3D Digital Correction Review
When I first visited the dental clinic, the doctor thoroughly examined my teeth. They explained in detail how the laminate procedure would work and what results I could expect. Through the consultation, I was able to choose the perfect color and shape for my teeth.
Jan 20, 2025, Kang O.
3D Digital Correction Review
When I first visited the dental clinic, the doctor thoroughly examined my teeth. They explained in detail how the laminate procedure would work and what results I could expect. Through the consultation, I was able to choose the perfect color and shape for my teeth.
Jan 20, 2025, Lee O.
3D Digital Correction Review
When I first visited the dental clinic, the doctor thoroughly examined my teeth. They explained in detail how the laminate procedure would work and what results I could expect. Through the consultation, I was able to choose the perfect color and shape for my teeth.
Jan 20, 2025, Kang O.
The beauty of proofreading
Discover the signature treatments our doctors have created through years
of research.
Pretty teeth make a person
people stand out.
White Teeth, Confident Smile, Balanced Face Don't wait, get your teeth straightened today.
Results from doctors with over 17 years of experience
At Smiley Dental, the owner has over 17 years of experience with more than 17 years of experience and has treated many patients himself. We will do our best to treat both easy and difficult cases.
Dr. Suhwan Oh
Unrivaled orthodontist specializing in challenging
lingual orthodontics and reverse orthodontics
that only a skilled dentist can do
Dr. Jang Jinwoong
An orthodontist who specializes in comprehensive treatment that addresses not only the aesthetic alignment of your teeth, but also your dental health.
Dr. Jachul Koo
Implants last just as long as natural teeth
The integrative dentist with the most referrals

치아 진단과 상담을 무료로 진행해드립니다.
지금 바로 상담 신청해보세요!
TEL. +82(02) 512-2085
The beauty of proofreading
Discover the signature treatments our doctors have created through years of research.
Pretty teeth make a person people stand out.
White Teeth, Confident Smile, Balanced Face Don't wait,
get your teeth straightened today.
Results from doctors with over 17 years
of experience
At Smiley Dental, the owner has over 17 years of
experience with more than 17 years of experience and has treated many
patients himself. We will do our best to treat both easy and difficult cases.
Why Smiley?
Patient-centered dentistry
We listen to each patient's needs and wishes, and provide
the best possible treatment accordingly.
Dentistry for Quality of Life
We create a comprehensive treatment plan that takes into account your overall health and quality of life health and quality of life and develop
a comprehensive treatment plan.
Follow-up dentistry
Ongoing care to prevent recurrence,
care to maintain results To ensure your treatment results last
From treatment planning to completion to completion.
Dentistry that goes the extra mile
Smile Dental stands out among commercial dentists among commercial dental clinics, and has established itself as a trustworthy dentist.
Are you still worried? Check out
Dr. Oh's YouTube channel,
Explore “Dr. Laughing Dentist”

We offer a free dental exam and consultation.
Request a consultation today!
TEL. +82(02) 512-2085
Location information
13F, ICT Tower, 624, Gangnam-daero, Gangnam-gu, Gangnam-gu, Seoul, Korea Smile Ditch Department
Parking information
Access to the ICT Tower's dedicated mechanical parking lot behind the building

Smile Dental Clinic
CEO : Suhwan Oh
Tel : 02-512-2085
Fax : 02-512-2264
Address : 13F, ICT Tower, 624, Gangnam-daero, Gangnam-gu, Seoul, Republic of Korea Business license number :
220-09-86639
이용약관 개인정보처리방침
Location information
13F, ICT Tower, 624, Gangnam-daero, Gangnam-gu, Gangnam-gu, Seoul, Korea Smile Ditch Department
Parking information
Access to the ICT Tower's dedicated mechanical parking lot behind the building

Terms of Use Privacy Policy
Smile Dental Clinic
CEO : Suhwan Oh
Tel : 02-512-2085
Fax : 02-512-2264
Address : 13F, ICT Tower, 624, Gangnam-daero, Gangnam-gu, Seoul, Republic of Korea Business license number : 220-09-86639
Help Center
+82(02) 512-2085
9 am to 6 pm (closed Saturdays and holidays)