Laminate Treatment Only at Smile:D
SmileNate/SmileWrapping
Laminate Treatment Only at Smile:D
SmileNate/SmileWrapping
"I really want to get laminates. but I'm worried about losing a lot of teeth."
SmileNate/SmileWrapping
protects teeth with
moderate tooth removal
A dental implant as thin as 0.1 mm is attached to the tooth without the loss
of the natural tooth. to protect the tooth surface and improve the ideal shape
of the desired tooth.
Provides precise,
accurate treatment
At Smile:D Dental Clinic, we use a painless anesthesia device to reduce discomfort during procedures, and a 3D scanner to ensure maximum precision and comfort, allowing us to measure the patient’s condition with complete accuracy.
Treatment process
to preserve teeth
SmileNate provides a thorough examination, an accurate picture of the condition of your teeth and gums, and a customized and gum condition, and we make a treatment plan accordingly. We have a wealth of know-how and a lot of clinical experience to achieve optimal results.
Honest visitor reviews
Here are some proofreading testimonials from our clients who have visited Smiley!
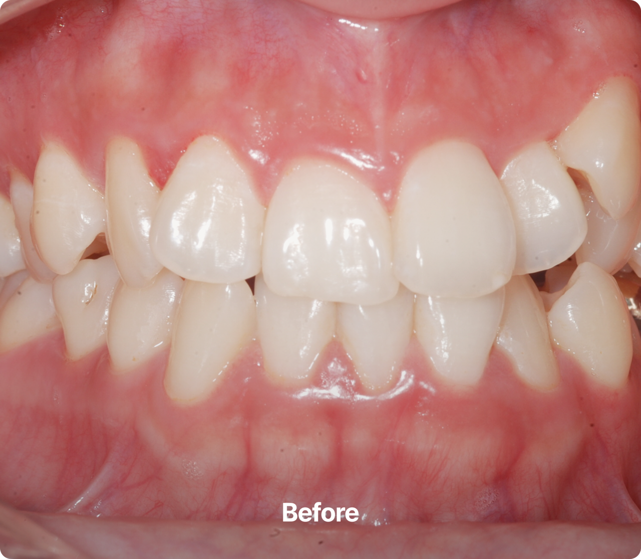
"I really want to get laminates.
but I'm worried about losing a lot of teeth."

SmileWrapping protects teeth with moderate
tooth removal
A dental implant as thin as 0.1 mm is attached to the tooth without the loss of the natural tooth.
to protect the tooth surface and improve the ideal shape of the desired tooth.
Real-life SmileNate/SmileWrapping treatment stories
Provides precise,
accurate treatment
At Smile:D Dental Clinic, we use a painless anesthesia device to reduce discomfort during procedures, and a 3D scanner to ensure maximum precision and comfort, allowing us to measure the patient’s condition with complete accuracy.
Treatment process
to preserve teeth
SmileNate provides a thorough examination, an accurate picture of the condition of your teeth and gums, and a customized and gum condition, and we make a treatment plan accordingly. We have a wealth of know-how and a lot of clinical experience to achieve optimal results.
Honest visitor reviews
Here are some proofreading testimonials from our clients who have visited Smiley!
3D Digital Correction Review
I really wanted laminate veneers, but I was hesitant because I was scared of having my teeth shaved down. I chose Smile Wrapping after hearing that it involves little to no tooth reduction. I’m amazed and so satisfied that my natural teeth were preserved while only the shape was beautifully refined!
Jan 20, 2025, Kim O.
Smile Wrapping for Gapped Front Teeth
I had been self-conscious about the gap in my front teeth since I was young. I chose Smile Wrapping instead of orthodontics, which seemed like it would take a long time. The gap was filled quickly and naturally without looking obvious, and now I can smile confidently and brightly.
Jan 20, 2025, Kang O.
Smile Wrapping Review
I was really worried because I have a severe fear of dental treatment, but thanks to the painless anesthesia, the whole procedure was completed without any pain at all. I almost felt like I had been scared for nothing. I would definitely recommend it to anyone who’s as nervous as I am.
Jan 20, 2025, Lee O.
Smile Wrapping for Small Teeth
I was always self-conscious about one side tooth that looked noticeably smaller than the others, but with Smile Wrapping, it was reshaped to match perfectly with my surrounding teeth. The design was customized to suit my face shape and smile line, so the result looks incredibly natural.
Jan 20, 2025, Kang O.
Smile Wrapping Review
After getting Smile Wrapping, people around me keep asking what I did. Even though I only slightly changed the shape of my teeth, they say my overall impression looks much brighter and cleaner. I’m even more satisfied because it doesn’t look artificial at all.
Jan 20, 2025, Kim O.
Smile Wrapping for a Chipped Front Tooth
I used to feel self-conscious every time I smiled because of a slightly chipped front tooth. With Smile Wrapping, it was restored even more beautifully than before. They examined it very carefully using a dental microscope, so the finishing is incredibly precise and you really can’t tell at all.
Jan 20, 2025, Kang O.
Smile Wrapping Review
I decided to go for it before an important job interview, and I truly have no regrets. Maybe it was the confidence from my new smile, but the interview went really well—and since then, it feels like only good things have been happening. Smile Wrapping was the best investment of my life!
Jan 20, 2025, Lee O.
Smile Wrapping for Discolored Teeth
I had discoloration that whitening couldn’t fix, so I chose Smile Wrapping. They adjusted the shade to a naturally brighter tone just the way I wanted, and I couldn’t be happier. Now I can enjoy my coffee without worrying!
Jan 20, 2025, Kang O.
3D Digital Correction Review
When I first visited the dental clinic, the doctor thoroughly examined my teeth. They explained in detail how the laminate procedure would work and what results I could expect. Through the consultation, I was able to choose the perfect color and shape for my teeth.
Jan 20, 2025, Kim O.
3D Digital Correction Review
When I first visited the dental clinic, the doctor thoroughly examined my teeth. They explained in detail how the laminate procedure would work and what results I could expect. Through the consultation, I was able to choose the perfect color and shape for my teeth.
Jan 20, 2025, Kang O.
3D Digital Correction Review
When I first visited the dental clinic, the doctor thoroughly examined my teeth. They explained in detail how the laminate procedure would work and what results I could expect. Through the consultation, I was able to choose the perfect color and shape for my teeth.
Jan 20, 2025, Lee O.
3D Digital Correction Review
When I first visited the dental clinic, the doctor thoroughly examined my teeth. They explained in detail how the laminate procedure would work and what results I could expect. Through the consultation, I was able to choose the perfect color and shape for my teeth.
Jan 20, 2025, Kang O.
3D Digital Correction Review
When I first visited the dental clinic, the doctor thoroughly examined my teeth. They explained in detail how the laminate procedure would work and what results I could expect. Through the consultation, I was able to choose the perfect color and shape for my teeth.
Jan 20, 2025, Kim O.
3D Digital Correction Review
When I first visited the dental clinic, the doctor thoroughly examined my teeth. They explained in detail how the laminate procedure would work and what results I could expect. Through the consultation, I was able to choose the perfect color and shape for my teeth.
Jan 20, 2025, Kang O.
3D Digital Correction Review
When I first visited the dental clinic, the doctor thoroughly examined my teeth. They explained in detail how the laminate procedure would work and what results I could expect. Through the consultation, I was able to choose the perfect color and shape for my teeth.
Jan 20, 2025, Lee O.
Smile Wrapping Revision Treatment
I used to feel stressed every time I smiled because of the unnatural shape and color of the veneers I had done before. I was worried whether a revision with Smile Wrapping would even be possible, but they completely solved my concerns. Now, they look so natural—just like my original teeth—and I’m truly happy.
Jan 20, 2025, Kang O.
The best solution
to save my teeth
SmileDentistry's unique SmileNate/SmileWrapping, created through a wealth of know-how and numerous clinical experiences, provides optimal results.
Preserving Natural Teeth
beautiful results
Optimized Beauty for Your Natural
Teeth Don't wait, try SmileNate/SmileWrapping today.
Dr. Suhwan Oh
Unrivaled orthodontist specializing in challenging
lingual orthodontics and reverse orthodontics
that only a skilled dentist can do
Dr. Lee Jeonghyun
With a uniquely delicate aesthetic sense,
this orthodontic specialist optimizes both functional recovery and esthetics for each patient,
delivering the highest level of satisfaction.
Dr. Jachul Koo
Implants last just as long as natural teeth
The integrative dentist with the most referrals

We provide systematic
dental examinations and consultations.
Request a consultation today!
TEL. +82(02) 512-2085
The best solution to save my teeth
SmileDentistry's unique SmileNate/SmileWrapping, created through a wealth of know-how and numerous
clinical experiences, provides optimal results.
Preserving Natural Teeth beautiful results
Optimized Beauty for Your Natural
Teeth Don't wait, try SmileNate/SmileWrapping today.
Why should you choose
Smile:D Dental Clinic?
Patient-centered dentistry
We listen to each patient's
needs and wishes
and provide the best possible
treatment accordingly.
Dentistry for
Quality of Life
We create a comprehensive
treatment plan that takes into account
your overall health and quality of life
and develop a comprehensive treatment plan.
Follow-up dentistry
Ongoing care to prevent recurrence,
care to maintain results.
To ensure your treatmentresults last
From treatment planning to completion to completion.
Dentistry that goes the extra mile
Smile Dental stands
out among commercial dentists among
commercial dental clinics, and has
established itself as a trustworthy dentist.
Are you still worried? Check out
Dr. Oh's YouTube channel,
Explore
“Dr. Smile Dentist”

We provide systematic dental examinations and consultations.
Request a consultation today!
TEL. +82-10-9960-2085
Location information
13F, ICT Tower, 624, Gangnam-daero, Gangnam-gu, Gangnam-gu, Seoul, Korea Smile :D Department
Parking information
Access to the ICT Tower's dedicated mechanical parking lot behind the building

Smile :D Dental Clinic
CEO : Suhwan Oh
Tel : 02-512-2085
Fax : 02-512-2264
Address : 13F, ICT Tower, 624, Gangnam-daero, Gangnam-gu, Seoul, Republic of Korea Business license number : 220-09-86639
Terms of Use Privacy Policy
Location information
13F, ICT Tower, 624, Gangnam-daero, Gangnam-gu, Gangnam-gu, Seoul, Korea Smile :D Department
Parking information
Access to the ICT Tower's dedicated mechanical parking lot behind the building

Terms of Use Privacy Policy
Smile Dental Clinic
CEO : Suhwan Oh
Tel : 02-512-2085
Fax : 02-512-2264
Address : 13F, ICT Tower, 624, Gangnam-daero, Gangnam-gu, Seoul, Republic of Korea
Help Center
+82-10-9960-2085
10 AM to 7 PM (closed Saturdays and holidays)